アクロスプラザ歯科医院|根管治療|横浜市神奈川

厚生省が認定する歯周病学会歯周病専門医による正確な診断と緻密な治療

診療について

医院の強み

より精度の高い高度歯科医療を実践するためには、
効果の実証されている機器の活用が必須となります。

座り心地が良いだけでなく、衛生面に関しても安心して治療を受けていただけるように、歯科医療機器の世界的ブランドであるドイツKaVo社の診療台を導入しました。人間工学に基づいて設計された診療台は身体への負担が少なく、水消毒システムも内蔵されているため、診療台の水は常に清潔です。

マイクロスコープ

精密な根管治療に必須のマイクロスコープを導入

歯科用顕微鏡とも言われ、視野を何倍にも拡大する装置です。精密な治療を必要とする根管治療、審美歯科治療そしてインプラント治療などで利用します。

CT

CT(三次元立体画像撮影装置)

国内では数%の歯科医院にしか導入されてません。
CTとは、従来の平面的(2次元)なレントゲン写真を立体的(3次元)に見ることができる装置で、骨の中に埋まっている歯の根の状態、曲がり具合、重要な神経や血管の位置などが正確に把握することができ、抜歯やインプラントなどの外科処置や歯周病の進行状態、歯の神経の治療(根管治療)などに威力を発揮します。歯科用CTでの撮影画像をもとに、的確な治療計画を立てることは、安心な治療への第一歩です。最適な治療方法を導くことは治療期間の短縮にもつながります。

当院の方針

①

歯周治療を希望して来院される患者さんの多くの場合は、歯周病の何らかの症状がすでに現れており、かなり病状が進行しているケースが多く、治療に要する期間も長くなります。治療は早く終わるにこした事はありませんが、じっくりと腰を据えて治療を受ける心構えを持つ事が最も重要です。 また、歯周病は本人に自覚がないままに進行するという病気でもある為に、私たちは歯周病が進行していると思われる患者さんには、十分に歯周病に関する説明を行ない、治療の必要性をお話しております。

歯周病治療

歯周病

出来る限り歯を抜かない

歯周病は通常痛みなどのはっきりとした自覚症状が非常に乏しい為に、見逃されがちな病気です。歯周病を早期に発見し、出きるだけ早期に治療する事が、歯周病治療の効果を高め、歯を温存する可能性を高めます。一般的な歯周病(慢性歯周炎)に関する治療法は、ほぼ確立されています。私達は、出来る限り歯を抜かずに歯周病治療する事で歯を温存できるよう日々努力しています。

3つのポイント

POINT.1
正確な診断を行います
全ての治療は診断からスタートします
POINT.2
早期発見が重要です
小さな虫歯を放置してはいけません
POINT.3
治療後のメンテナンス
健康を維持することを目標にしてください

歯周病治療に20年以上の実績

あらゆる検査からの情報を分析します
基本的な検査だけでなく、CT検査、歯周病に特異的な細菌のPCR検査、噛み合わせの検査、生活習慣の見直しなどを行います

診査、診断を十分に行います

他院では見逃してしまうケースもしっかり対応します
適切な治療を行えば、健康な口腔内を実現できます

重度の歯周病にも立ち向かいます

専門医ではないと対応できない症例もあります
指導医として若い専門医への指導も行っています。最新の文献、情報には常に目を通しています

審美歯科治療

変更3

歯をなるべく削らずに

最新治療法・最新材料を導入し審美治療に対する患者様のご期待に添えるよう日々診療にあたっております。

インプラント治療

インプラント変更1

CT診断、CAD/CAMを活用した最先端の治療を行います

インプラント治療は失ってしまった歯の替わりに、 生体親和性が極めて高い純チタンで出来たインプラント(人工歯根)を歯肉内部にある顎の骨に埋め込み、その上に人工の歯を取り付け、噛み合わせを回復する治療法です。

CT設備完備

二次元のレントゲン(歯科医院にある通常のレントゲン)では見えなかったこと、分からなかったことが、歯科用CTなら正確な診査と診断ができ、安全性と治療のクオリティーを高めることが可能となります。

インプラント手術においてCT撮影は必須です。CT撮影を行うか否かも医院を選ぶうえでの判断材料にしていただければと思います。

ンピューター診断

手術時の「人為的なミス」を最小限に抑えることができる安全なインプラント治療を望まれる方。ぜひ、コンピューターインプラントを実施している医院での受診を強くお勧めします。

科手術

術前の診断を手術に生かします。
シュミレーションした場所に確実にインプラントを設置していきます。

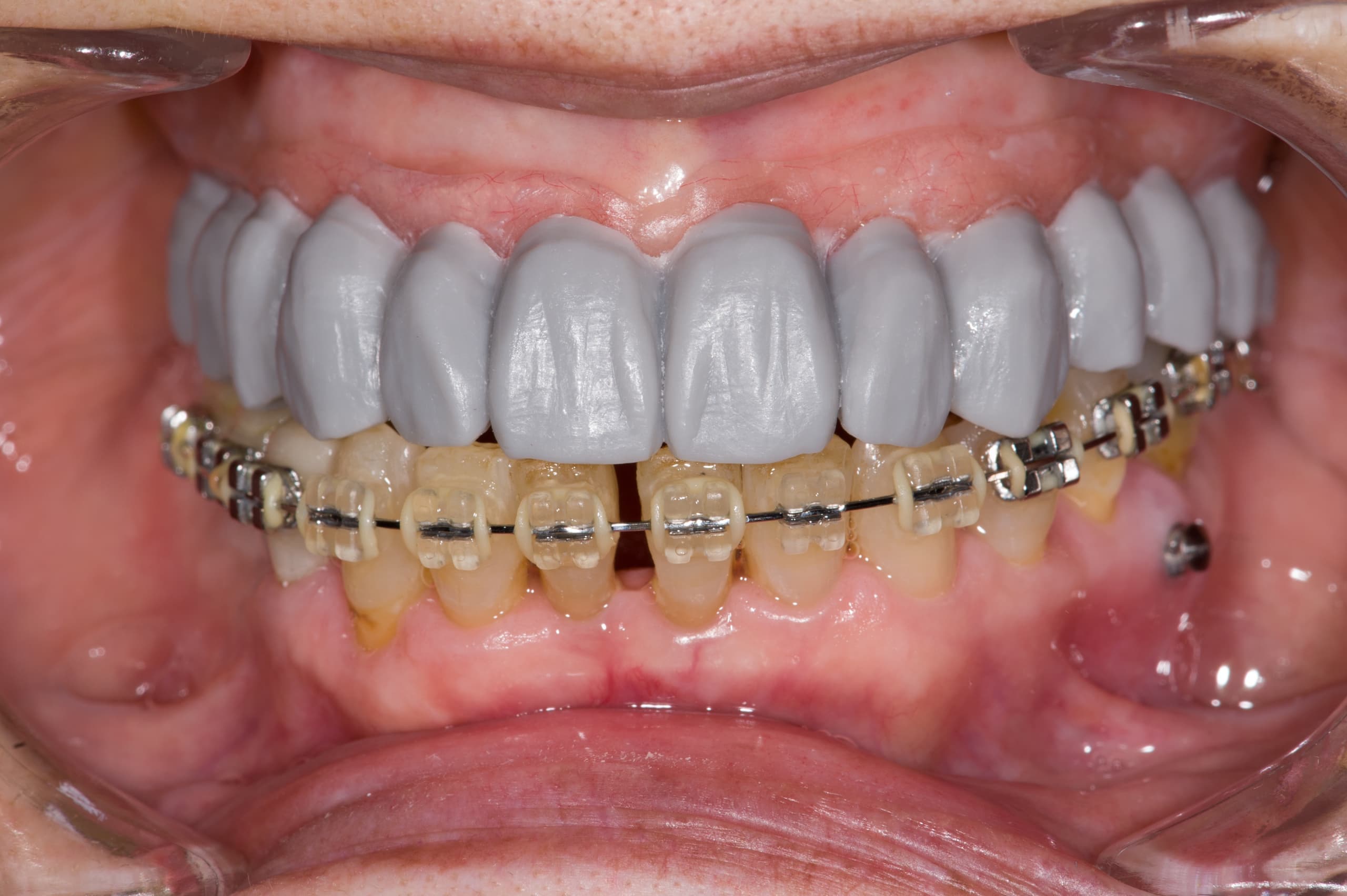
矯正治療

矯正

マウスピース矯正が、世界中の患者様に選ばれる理由

適性

デンタルフロスや歯ブラシによる歯磨きも通常通り可能です。

り外し可能

取り外しができるので、いつものように食事を楽しめます。

立たない

装着していることが外見上ほとんどわかりません。

CONTACTご予約・お問い合わせ

モバイルサイト

アクロスプラザ歯科医院スマホサイトQRコード

スマートフォンからのアクセスはこちら

初診の方
再診の方